급성 췌장염의 이해

급성 췌장염이란

급성 췌장염은 췌장의 비정상적인 염증을 말하며 급성으로 췌장의 염증이 심한 경우를 말한다. 비간염증과 간염증으로 나뉘는데, 비간염증은 췌장의 기능이나 구조에 영향을 미치지 않는 경우를 말한다. 반면에 간염은 췌장의 기능이나 구조에 영향을 미치는 경우를 말합니다. 급성 췌장염의 원인은 다양하며 대표적으로 알코올 중독, 고지혈증, 간경변증, 간염, 신장 기형, 신장 기능 장애, 신장 폐기종, 신장염, 신장 폐기종, 간경변증, 담낭염 등이 있습니다. 또한, 급성 췌장염은 갑상선염, 위염, 위궤양, 위궤양, 간기능 이상, 담낭 이상 등의 질환과도 관련이 있다. 급성 췌장염의 증상은 다양하며 일반적으로 통증, 복통, 메스꺼움, 구토, 열, 배고픔, 담낭 부종 등이 있습니다. 또한 급성 췌장염은 심하면 신장에 문제가 생길 수 있어 빠른 진단과 치료가 중요하다. 따라서 급성췌장염의 진단은 신기형, 간기능부전, 신폐기종, 신염, 신폐기종, 간경변증, 담낭염 등의 신염, 신폐기종, 간경변증, 담낭염 등의 증상과 동반되어 진단되어야 한다. 하여 적절한 치료를 결정해야 합니다.

급성 췌장염의 원인과 증상을 이해한다.

급성췌장염은 췌장의 면역체계에 의해 인위적으로 유발되는 급성질환으로 췌장의 급속한 염증을 말한다. 이 상태는 모든 연령대에서 발생할 수 있으며 남성보다 여성에게 더 흔합니다. 급성 췌장염에는 많은 원인이 있으며 가장 일반적으로 감염성 원인입니다. 바이러스, 미생물 또는 변종 감염으로 인해 발생할 수 있습니다. 또한 췌장 염증을 유발하는 일부 약물 및 기타 의학적 상태가 있습니다. 급성 췌장염의 주요 증상은 발열, 구토, 복통, 복통 등의 가장 흔한 증상이다. 심한 경우 심한 복통과 배꼽 통증, 발열, 식욕 부진, 식욕 부진 등이 나타날 수 있습니다. 급성 췌장염의 증상에는 비정상적인 배변, 비대칭 복통, 위장염 및 위장관 염증, 소화 불량도 포함됩니다. 급성 췌장염은 적절하게 치료하지 않으면 치료하기 어려운 심각한 질병으로 발전할 수 있습니다. 따라서 증상이 나타나면 즉시 의사의 진찰을 받아야 합니다. 이렇게 하면 적절한 치료를 받고 증상이 완화됩니다.

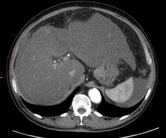
급성 췌장염의 진단

급성 췌장염은 췌장의 염증성 병변과 장기간 정상적인 췌장 기능의 손상을 나타내는 질환으로, 췌장염은 자가면역계에 의해 발생하는 경우가 많다. 염증의 원인에 따라 다양한 형태로 발생할 수 있으며 급성 췌장염의 경우 췌장에 갑작스러운 염증이 발생합니다. 급성 췌장염은 다양한 원인이 있으며 일반적으로 감염, 면역 장애, 약물 또는 식중독 등에 의해 발생합니다. 급성 췌장염의 증상은 경우에 따라 다양하며 일반적으로 복통, 구토, 변비, 피로, 식욕 부진, 발열, 무기력 등이 있습니다. 이러한 증상이 나타나면 즉시 의사를 만나 진단을 받아야 합니다. 의사는 병력, 신체 검사, 변비 및 복통의 정도, 식도 검사, 췌장 기능 검사 및 췌장 초음파를 통해 급성 췌장염을 진단할 수 있습니다. 의사는 또한 신체 검사 결과를 사용하여 염증의 원인을 확인하고 적절한 치료를 시작할 수 있습니다. 적절한 치료는 염증을 줄이고 회복 속도를 높이는 데 도움이 될 수 있습니다.

급성 췌장염의 효과적인 치료

급성췌장염은 췌장염의 일종으로 췌장에 심한 염증이 생겨 췌장 기능이 저하된 상태를 말한다. 췌장에 염증이 생겨 췌장 세포가 손상되거나 췌장 세포가 파괴되어 췌장 내 기능 세포가 손상되어 발생하는 질환입니다. 급성 췌장염은 간염, 알코올 중독, 간경화, 식중독, 약물 중독, 췌장 기형 및 기타 원인에 의해 발생할 수 있습니다. 손상이 비교적 경미한 급성 췌장염과 손상이 심한 급성 췌장염으로 나뉩니다. 급성 췌장염의 증상으로는 통증, 복통, 팽만감, 복부 팽만감, 복부 팽만감, 복부 팽만감, 식욕 부진, 발열, 약한 발기, 식욕 부진 등이 있습니다. 급성 췌장염을 치료할 때는 원인을 규명하고 적절한 치료를 시작하는 것이 중요하다. 일반적으로 급성 췌장염의 치료는 급성 췌장염의 증상을 완화하고 췌장 기능을 유지하기 위한 금주, 약물 치료, 수술, 장기간 치료가 필요합니다. 식사 금욕은 췌장의 염증을 줄이고 췌장 손상을 예방하기 위해 식사를 금지하는 것입니다. 췌장의 염증을 줄이고 췌장 기능을 유지하는 데 도움이 됩니다. 또한 금주령은 알코올 중독으로 인한 급성 췌장염 증상 완화를 위해 음주를 금지하기 위해 마련됐다. 약물 치료는 급성 췌장염의 증상을 완화하기 위해 항염증제, 약물 치료, 감기약, 항균제, 간 기능 조절제를 사용하는 것으로 구성됩니다. 또한 수술적 치료는 손상된 부분을 외과적으로 제거하거나, 췌장 손상이 심한 경우에는 췌장 기능을 보존하는 데 도움이 됩니다. 급성 췌장염을 치료할 때는 적절한 치료를 통해 췌장 기능을 유지하고 췌장 손상을 예방하는 것이 중요하다. 이를 위해서는 음식, 음료, 약물, 수술 및 장기 치료가 필요하지 않습니다. 이것은 급성 췌장염의 증상을 완화하고 췌장 기능을 유지하는 것이 중요합니다.

급성췌장염 주의사항

급성 췌장염은 비교적 빠르게 발병하는 췌장의 염증성 질환입니다. 일반적으로 소화 장애 또는 감기 및 설사와 같은 다른 질병과 함께 발생합니다. 급성 췌장염의 주요 증상은 장 및 소화 장애, 구토 및 복통입니다. 또한 급성 췌장염은 염증이 심해 대변에 혈액이 섞일 수 있고, 염증이 심해 대변에 혈액이 섞일 수 있다. 급성 췌장염은 많은 원인이 있으며 일반적으로 바이러스, 미생물, 약물 또는 식중독에 의해 발생합니다. 또한 췌장염의 원인으로는 운동, 식습관, 음식섭취 등이 있다. 급성췌장염은 감기와 같은 전염성 질환이므로 손씻기, 정상적인 식품취급, 냉동식품의 올바른 취급이 중요합니다. 급성 췌장염은 제대로 치료하지 않으면 심각한 건강 문제를 일으킬 수 있습니다. 따라서 급성 췌장염 증상이 나타나면 즉시 의사와 상담해야 한다. 의사는 일반적으로 장기 치료를 위해 약물을 처방합니다. 그들은 또한 식단 변화를 권장합니다. 염증이 심하더라도 의사는 치료를 위해 수술을 권할 수 있습니다. 급성 췌장염을 예방하기 위해서는 올바른 식습관을 지키고 충분한 운동을 하는 것이 중요합니다. 급성 췌장염에 영향을 미치는 바이러스, 미생물 및 약물에 대한 적절한 예방 조치를 취하는 것도 중요합니다. 일과 삶의 균형을 찾고 충분한 수면을 취하는 것도 스트레스를 줄이는 데 중요합니다. 이러한 예방 조치는 급성 췌장염의 악화를 예방하는 데 도움이 됩니다.

급성 췌장염 환자에게 좋은 음식

급성 췌장염 환자는 병원에서 치료를 받는 동안 식사가 어렵다.. 치료가 끝난 후에는 적절한 음식을 섭취하여 건강한 식습관을 유지해야 합니다.. 그러나 이 시기에 췌장의 피로를 풀기 위해서는 특별한 식습관도 지켜져야 한다.. 급성 췌장염 환자에게 좋은 음식은 다음과 같습니다..

– 저지방 음식

저지방 식단은 췌장의 부담을 줄여 회복을 돕습니다.. 특히, 동물성 지방이 적은 생선, 흰살 생선, 닭가슴살 등을 드시는 것을 추천합니다..

– 고단백 식품

단백질은 췌장을 자극하지 않고 신체 회복을 돕습니다.. 가능하면 동물성 단백질 대신 콩, 두부, 검은깨, 닭가슴살 등 식물성 단백질 섭취를 권장합니다..

-저온 살균 우유 제품

저온살균 요구르트, 치즈, 우유 등은 장내 세균총의 균형을 유지하여 소화 기능 회복에 도움을 줍니다..

– 무가당 음료

가벼운 무가당 음료(, 자동차, 주스 등)드시는 것이 좋습니다. 탄산음료나 과일 주스는 설탕이 많고 췌장에 가해지는 부담을 줄이지 않으므로 피하십시오..

-과일과 채소

신선한 과일과 채소를 섭취하는 것이 좋습니다. 특히, 아보카도, 브로콜리, 당근, 블루 베리, 토마토 등은 췌장의 염증을 줄이는 데 도움이 됩니다..

급성 췌장염 환자는 병원 규정에 따라 식사를 해야 합니다.. 따라서 개별 환자의 식이 선택은 전문가의 안내를 받아야 합니다..