안녕하세요. 강남리온치과의원 김영삼 원장입니다 날씨가 점점 좋아지는 것 같습니다 감기조심하세요 잘보고있습니다.
![]()
![]()
![]()
오늘은 임플란트에 대해 포스팅하려고 합니다. 30대 환자분이 사랑니를 뽑으러 강남리온치과를 찾아오셨습니다. 사랑니가 나오는지는 모르겠지만 오른쪽 아래가 아프다”며 먼저 전체 엑스레이를 찍고 확인하기로 했다. 엑스레이를 찍고 나서 오른쪽 아래가 불편한 이유를 깨달았다.
![]()
![]()
CT분석과 정밀한 플래닝 후 오른쪽 아래 사랑니의 염증을 무시하고 사랑니의 염증으로 인해 앞니 뿌리가 손상되어 녹아내려서 앞니와 앞니를 뽑기로 했습니다. 같이.. 이번 경우는 정말 안타깝네요.. 빨리오면 후회할텐데 어서 사랑니 뽑고 앞니 제대로 안쓰고 살겠습니다. 치아를 지탱하는 잇몸뼈가 튼튼하지 않고, 그 원인은 사랑니에만 국한되지 않는 것 같습니다.
![]()
![]()
이것은 사랑니와 작은어금니만을 엑스레이로 촬영한 것입니다. 염증이 진행된 지 어느 정도 시간이 지난 것으로 보이며, 염증 초기에는 환자가 별다른 불편함을 느끼지 않는 것 같았으나, 염증이 진행됨에 따라 점차 잇몸뼈가 녹아내리면서 치아가 조금씩 진동하게 되었습니다.
![]()
주황색 선이 보이면 잇몸선을 확인한 것입니다. 사랑니만 뽑았으면 이 치아를 유지해도 괜찮았을 텐데 이미 염증이 너무 커서 치아 뿌리가 녹아 없어졌습니다.

![]()
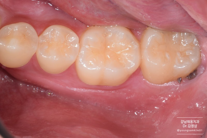
왼쪽의 사랑니와 오른쪽의 앞니. 사랑니 옆에 뿌리가 녹아 짧아지는 것을 보셨나요? 발치가 전혀 아깝지 않은 것이 현 상황입니다. 발치 후 엑스레이 사진입니다. 추출된 공간은 여전히 비어 있습니다. 염증이 없고 잇몸뼈의 상태가 양호하면 발치 당일 임플란트 식립이 가능하나, 이 경우 임플란트가 잘 고정되지 않아 실패할 확률이 높습니다. 사람마다 다르지만 뼈가 완전히 채워지는 데는 일반적으로 1~2개월 정도 걸립니다. 그 기간 동안 환자의 잇몸 상태가 좋지 않아 잇몸 치료를 시작하기로 했습니다. 환자가 항상 알아야 할 것은 치아를 오래 사용하기 위해서는 잇몸이 건강해야 한다는 것입니다. 노화가 진행됨에 따라 잇몸의 노화 과정이 서서히 사라집니다. 잇몸이 건강하면 치아를 지탱하는 잇몸뼈도 건강하기 때문에 잇몸이 좋지 않은 상태에서 치주치료를 지속하는 것이 좋습니다. 재생치료도 잇몸치료와 동시에 진행됩니다. 치아는 송곳니와 어금니 사이에 틈이 있기 때문에 “웃을 때 치아 사이 틈이 보여서 신경이 쓰인다”고 합니다. 수지가 벗겨지고 변색됩니다. 레진을 접착제로 붙이는 과정이기 때문에 칫솔질, 음식물 섭취 등 외부 자극에 의해 색이 진해지거나 사라질 수 있습니다. 다만, 치아가 빠지더라도 발치하지 않고 재수술이 가능하나, 레진치료 후 재수술 비용이 발생하게 됩니다. 공간이 자연스럽게 채워지나요? 위에서 언급한 것처럼 변색과 벗겨짐이 걱정된다면 교정이나 보철로 치료하는 것이 가장 좋다. 치아 사이가 벌어져 고민이시라면 치과에 내원하셔서 전문의와 상담을 받으시는 것이 좋습니다. 레진 전후 비교는 이제 2개월이 되었습니다. 잇몸뼈가 꽉 차 있는지 엑스레이를 찍었습니다. 2개월 전과 비교하면 다행히 뼈가 많이 자랐다. 이제 임플란트 식립이 가능해 당일 식립이 가능합니다. 치근에 해당하는 임플란트 픽스쳐만 식립합니다. 정확한 각도, 깊이 및 위치에 앵커를 설치하는 것이 중요합니다. . 누가 그렇게 좋아. . ^^ 잇몸뼈 상태가 좋지 않은 환자분들은 특히 힘듭니다. 이렇게 되기까지 약 2개월을 기다린 끝에 임플란트 헤드를 들어올리기로 결정했습니다. 2개월 후 치은골이 임플란트와 잘 맞는 것을 확인하고 최종 수복을 하였다. 방금 식립했을 때와 비교하여 X-ray 촬영 결과 주변 치은골이 잘 부착되고 단단해졌습니다. 첨부된 사진은 이식된 크라운의 사진입니다. 크라운 모양도 잘 되어있어요^^ 그리고 가운데 동그란 구멍도 똑같이 보이시죠? 이 구멍에는 임플란트의 뿌리와 헤드를 연결하는 작은 나사가 임플란트에 삽입됩니다. 임플란트 문제로 인해 보철물이 흔들리는 경우 이 구멍을 사용하여 임플란트를 조이는 나사를 조이거나 교체합니다. 임플란트 전보다 오른쪽 치아를 사용할 수 있어 오른쪽에서 편안하게 식사를 할 수 있어 마음이 편하다고 한다. 또한 환자가 몸이 좋지 않은 경우 염증이 이미 증가한 경우가 많습니다. 궁금하신 사항이 있으시면 언제든지 강남리온치과의원으로 연락주시기 바랍니다. 오늘도 좋은 하루 보내시길 바랍니다.서울시 서초구 강남대로 415 대동빌딩 4층 강남리온치과의원